La Mejor Clínica de Implantes Dentales en Barcelona
En nuestra clínica dental en Barcelona, nos enorgullece ofrecer los servicios de implantes dentales más destacados de la ciudad. Nuestro objetivo es proporcionar una solución efectiva y de alta calidad para aquellos que buscan restaurar su sonrisa y mejorar su salud bucal. Con un equipo de profesionales altamente capacitados y tecnología de vanguardia, nos esforzamos por ser la mejor opción para aquellos que desean recibir implantes dentales de la más alta calidad.
¿Por qué elegir nuestra clínica dental?
➡ Experiencia y profesionalismo
Contamos con un equipo de especialistas en implantología dental con años de experiencia en el campo. Nuestros dentistas están altamente capacitados y actualizados con las últimas técnicas y avances en implantología. Te aseguramos que estarás en manos de expertos que brindarán resultados excepcionales y atención personalizada en cada etapa del proceso.
➡ Tecnología avanzada
En nuestra clínica, nos mantenemos a la vanguardia de la tecnología dental. Utilizamos equipos de última generación para garantizar que nuestros pacientes reciban un tratamiento de implantes dentales de la más alta calidad. Desde imágenes en 3D hasta técnicas de colocación guiada, contamos con las herramientas adecuadas para lograr resultados precisos y duraderos.
➡ Enfoque personalizado
Entendemos que cada paciente es único y tiene necesidades dentales individuales. Por esta razón, adoptamos un enfoque personalizado para cada caso de implantes dentales. Antes de comenzar cualquier procedimiento, realizamos una evaluación exhaustiva para comprender tus objetivos y desarrollar un plan de tratamiento personalizado que se adapte a tus necesidades específicas.

Nuestros servicios de implantes dentales
➡Evaluación inicial
En nuestra clínica dental en Barcelona, comenzamos todo proceso de implantes dentales con una evaluación inicial completa. Durante esta etapa, nuestros especialistas realizarán un examen minucioso de tu boca, que puede incluir radiografías y escaneos en 3D para evaluar la cantidad y calidad del hueso disponible. Esto nos permitirá determinar si eres un candidato adecuado para los implantes dentales y qué enfoque es el más adecuado para tu caso.
➡ Planificación y diseño
Una vez que hayamos evaluado tu situación dental, procederemos a la etapa de planificación y diseño. Utilizando la información recopilada durante la evaluación inicial, crearemos un plan de tratamiento personalizado que aborde tus necesidades específicas. Nuestro objetivo es garantizar una colocación precisa de los implantes dentales y un resultado estético natural que se integre perfectamente con tu sonrisa existente.

➡ Colocación de implantes
La colocación de los implantes dentales es un proceso quirúrgico delicado que requiere habilidad y precisión. En nuestra clínica dental, contamos con especialistas experimentados en la colocación de implantes dentales utilizando técnicas de vanguardia. Durante este procedimiento, se colocarán los implantes de titanio en el hueso maxilar o mandibular, proporcionando una base sólida para las prótesis dentales.

➡ Restauración dental
Una vez que los implantes dentales se hayan integrado completamente con el hueso circundante, procederemos a la etapa de restauración dental. Utilizando prótesis dentales de alta calidad, como coronas o puentes, restauraremos tu sonrisa y te devolveremos la función completa de tus dientes. Nuestro objetivo es lograr un resultado estético natural que mejore tu apariencia y te brinde la confianza de una sonrisa saludable.
Financiación hasta 24 meses sin intereses
Implantes dentales desde
66€/mes
Financiación a 24 meses sin intereses!!!

Coronas de Zirconio libre de metal y con sistema de medidas 3D
Ortodoncia invisalign
145€/mes
Financiación a 24 meses sin intereses!!!

tratamiento de Ortodoncia Sistema Invisalignl light / de 6 a 12meses
ortodoncia invisalign
199€/mes
Financiación a 24 meses sin intereses!!!

tratamiento de Ortodoncia Sistema Invisalignl Full / de 12 a18 meses
Nuestro enfoque integral en la salud dental
En nuestra clínica dental, nos distinguimos por nuestro enfoque integral en la salud dental. Entendemos que los implantes dentales no solo deben verse naturales, sino que también deben funcionar de manera óptima para garantizar la comodidad y la durabilidad a largo plazo. Nuestro equipo de especialistas altamente capacitados y con años de experiencia se asegura de que cada implante se realice con precisión y con los mejores materiales disponibles en el mercado.
Expertos en implantes dentales
Contamos con un equipo de expertos en implantes dentales altamente capacitados, respaldados por años de experiencia en el campo. el Dr. Pol Nin Sadurní dedicado a proporcionar resultados de la más alta calidad, utilizando técnicas avanzadas y los últimos avances en tecnología dental. Trabajamos en estrecha colaboración con cada paciente, evaluando sus necesidades individuales y creando un plan de tratamiento personalizado para lograr los mejores resultados posibles.
Tecnología de vanguardia para implantes dentales
En nuestra clínica dental, nos mantenemos a la vanguardia de la tecnología dental para brindar los mejores resultados a nuestros pacientes. Utilizamos equipos y herramientas de última generación para llevar a cabo nuestros procedimientos de implantes dentales con precisión y eficiencia. Esto nos permite lograr una colocación precisa de los implantes, asegurando una integración exitosa con el hueso y una recuperación más rápida para nuestros pacientes.

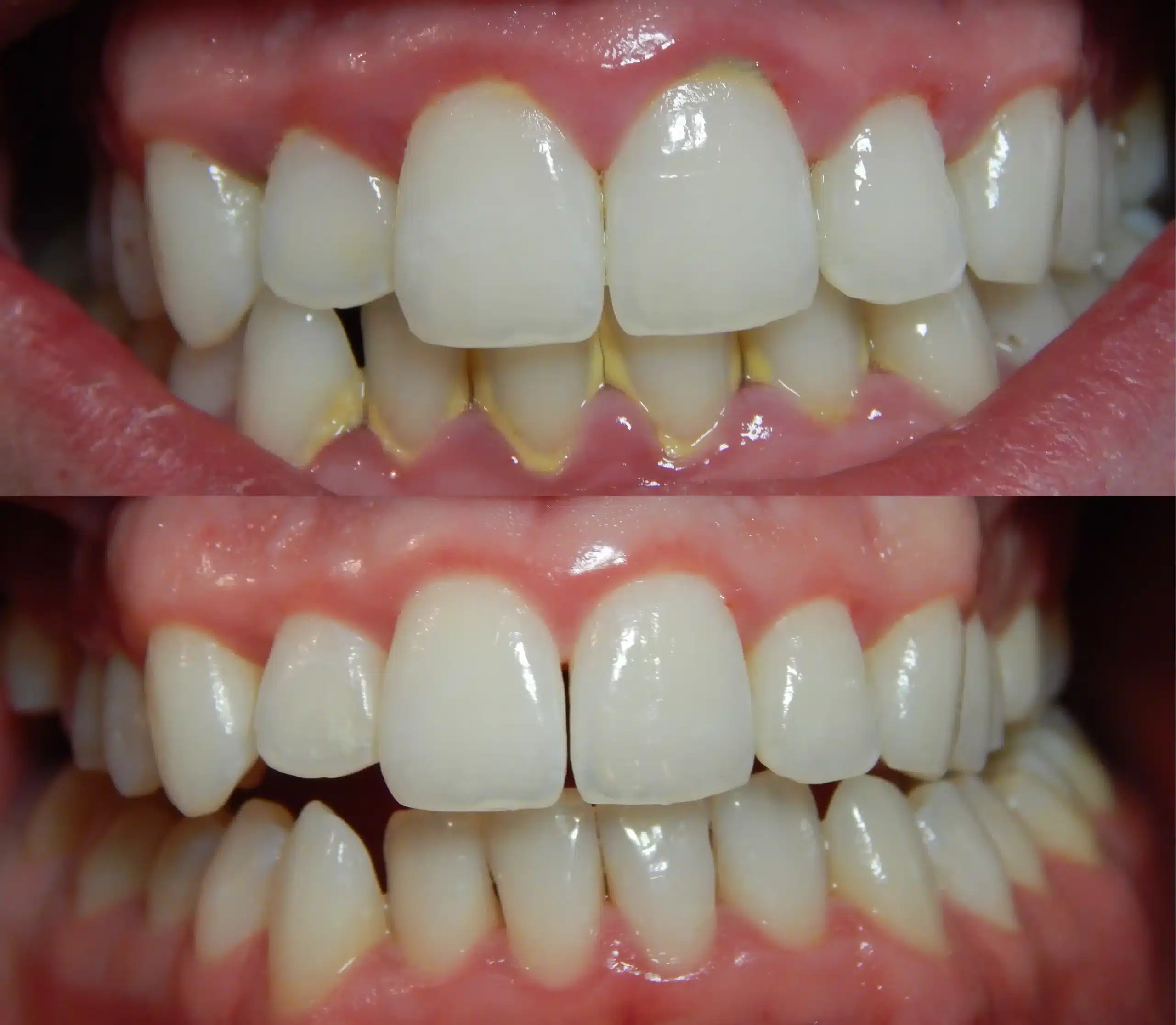
Nuestro enfoque en el confort y la satisfacción del paciente
En nuestra clínica dental, nos preocupamos por el confort y la satisfacción de nuestros pacientes en cada etapa del proceso de implantes dentales. Nuestro personal amable y atento se asegurará de que te sientas cómodo y relajado durante tu visita. Además, brindamos información detallada sobre el procedimiento, respondiendo a todas tus preguntas y preocupaciones para que puedas tomar decisiones informadas sobre tu salud dental.

Testimonios de nuestros pacientes satisfechos
A lo largo de los años, hemos tenido el privilegio de ayudar a numerosos pacientes a recuperar sus sonrisas y mejorar su calidad de vida a través de nuestros servicios de implantes dentales. Aquí hay algunos testimonios de pacientes satisfechos:
“Desde el momento en que entré en la clínica, supe que estaba en buenas manos. El equipo fue amable, profesional y me hizo sentir cómodo durante todo el proceso. Ahora tengo una sonrisa completamente nueva gracias a los implantes dentales. ¡Recomendaría esta clínica a cualquiera que esté buscando resultados excepcionales!” – Juan Pérez
“Estoy muy agradecida por el trabajo realizado en mi boca. Los implantes dentales han cambiado mi vida por completo. El equipo de la clínica fue increíblemente servicial y profesional. Si estás considerando implantes dentales, ¡definitivamente recomendaría esta clínica!” – María García

Guía paso a paso para implantes dentales:
- Evaluación y planificación personalizada por el dentista especializado.
- Anestesia local para mayor comodidad del paciente.
- Extracción del diente dañado (si es necesario) y preparación del sitio.
- Inserción del implante dental de titanio en el hueso.
- Cicatrización y osteointegración del implante durante varias semanas.
- Colocación de la corona dental personalizada sobre el implante.
- Seguimiento y cuidado dental regular para mantener la salud bucal.
Técnicas de implantología: All-on-4, carga inmediata, injerto óseo si es necesario, elevación de seno maxilar. implantes por ordenador

Dentistas especialistas en implantes dentales
“Un dentista general se ocupa de la salud dental en general, mientras que un odontólogo especialista en implantes se centra en la colocación y restauración de implantes dentales. Los odontólogos implantólogos tienen una formación adicional y experiencia en esta área específica.”
Implantes dentales desde
66€/mes
Financiación a 24 meses sin intereses!!!

Coronas de Zirconio libre de metal y con sistema de medidas 3D
Implantólogo en Barcelona
Un Cirujano Bucal , especialista en implantes está especializado en técnicas de cirugía avanzada. por eso es el profesional más adecuado para los tratamientos de implantes, extracciones de muelas del juicio , regeneraciones óseas. Hoy día, el desarrollo de las técnicas junto con las herramientas tecnologicas, permiten colocar implantes en cualquier situación ósea.

Conoce al Dr. Pol Nin Sadurní, especialista en implantologia y rehabilitación oral
Conclusión
En resumen, nuestra clínica dental en Barcelona se destaca como la mejor opción para implantes dentales en la zona. Nuestro enfoque integral en la salud dental, la experiencia de nuestros especialistas, la utilización de tecnología de vanguardia y nuestro enfoque centrado en el confort del paciente nos permiten superar a la competencia y brindar resultados excepcionales.
Si estás buscando una clínica dental en Barcelona para tus necesidades de implantes dentales, te invitamos a que nos visites. Nuestro equipo estará encantado de atenderte y ofrecerte una solución personalizada que te brinde una sonrisa radiante y duradera. ¡No esperes más, contáctanos hoy mismo!
ir a página de implantes dentales Barcelona






