Barcelona sant-gervasi
Blanqueamiento Dental
¿Qué es un blanquamiento dental ?
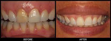
El blanqueamiento es un procedimiento cosmético que puede mejorar significativamente la apariencia de tus dientes. Es un tratamiento seguro y efectivo que puede eliminar manchas y decoloraciones de los dientes, dejando una sonrisa más blanca y brillante.
Si quieres saber más acerca del blanqueamiento ,cómo funciona el proceso y los cuidados posteriores que debes tener para mantener tus dientes blancos y saludables sigue leyend para mantenerte informado
En Clínica Dental Barcelona tenemos una amplia experiencia en blanqueamiento dental y disponemos de de blanqueamiento que hay en el mercado

¿ Por qué hacerse un blanqueamiento dental?
El blanqueamiento dental es una excelente opción para aquellas personas que desean mejorar la apariencia de su sonrisa. Ayuda a eliminar manchas causadas por el envejecimiento, el consumo de ciertos alimentos y bebidas, el tabaquismo y otros factores que pueden afectar el color de los dientes.
¿ Cuándo hacerse un blanqueamiento dental?
El momento adecuado para hacerse un blanqueamiento dental puede variar según las necesidades y preferencias de cada individuo. Sin embargo, es recomendable realizar una consulta con un dentista para evaluar el estado de los dientes y determinar si el blanqueamiento dental es adecuado en cada caso particular. 📅
Beneficios del Blanqueamiento Dental
El blanqueamiento dental no solo puede mejorar el aspecto de tus dientes, sino que también puede tener otros beneficios. Algunos de los beneficios del blanqueamiento dental incluyen:
✔️mejora de la apariencia estética de la sonrisa.
✔️Aumento de la confianza y autoestima.
✔️Eliminación de manchas y decoloraciones.
✔️Aspecto más juvenil y saludable de los dientes.

Principales causas del oscurecimiento de los dientes
Causas intrínsecas 🔬🔍
El oscurecimiento intrínseco de los dientes puede estar relacionado con factores genéticos, traumatismos, exposición a ciertos medicamentos durante la formación dental, entre otros. Es importante entender que estos casos requieren un enfoque específico y pueden necesitar tratamientos adicionales. ⚠️🧬
Causas extrínsecas 🍷🍕
El oscurecimiento extrínseco de los dientes se debe principalmente al consumo de alimentos y bebidas pigmentadas, como café, té, vino tinto, así como al tabaquismo y la falta de higiene oral adecuada. Evitar o reducir la exposición a estos factores puede ayudar a prevenir el oscurecimiento de los dientes. 🚫🍷
Tipos de blanqueamiento dental?


BLANQUEAMIENO DENTAL EN CLÍNICA
Este es el tipo más común , también conocido como blanqueamiento dental láser o blanqueamiento dental profesional. Se realiza en la consulta dental por un profesional capacitado y utiliza una luz especial para activar el gel blanqueador ( peròxido de hidrógeno o peróxido de carbamida) Este tratamiento es rápido y efectivo, y puede hacer que tus dientes se vuelvan de 2 a 6 tonos más blancos en una sola sesión.
💡Láser
El blanqueamiento dental con láser es un procedimiento en el cual se aplica un agente blanqueador en los dientes y luego se activa con luz láser para acelerar el proceso de blanqueamiento. Es un método rápido y efectivo.
💡Luz fría o LED
El blanqueamiento dental con luz fría o LED utiliza una luz especial de baja intensidad para activar el agente blanqueador. Es un método seguro y ampliamente utilizado en clínicas dentales.
💡blanqueamiento
Férulas
El blanqueamiento dental con férulas consiste en el uso de bandejas o férulas personalizadas que contienen un gel blanqueador. Estas férulas se colocan sobre los dientes y se usan durante un período de tiempo determinado. 😷🌟
Se realiza en casa utilizando un kit de blanqueamiento dental proporcionado por tu dentista. El kit contiene una bandeja personalizada que se ajusta a tus dientes y un gel blanqueador que se coloca en la bandeja y se usa durante un período de tiempo determinado. Aunque este tratamiento es más lento que el blanqueamiento dental en consultorio, es más asequible y cómodo.
BLANQUEAMIENO DENTAL COMBINADO
combina ambos tratamientol en consultorio y en casa. El blanqueamiento dental en consultorio se utiliza para lograr resultados inmediatos, mientras que el ambulatorio se utiliza para mantener los resultados durante un período de tiempo más largo.
Blanqueamiento dental en la clínica dental
El blanqueamiento dental realizado en el consultorio del dentista ofrece resultados más rápidos y efectivos en comparación con los tratamientos caseros. Los dentistas utilizan productos químicos más fuertes y pueden personalizar el tratamiento según tus necesidades.
Durante el procedimiento en el consultorio, el dentista supervisará de cerca el proceso y tomará medidas para proteger tus encías y tejidos blandos. Además, el dentista puede recomendar tratamientos adicionales, como limpieza dental, antes del blanqueamiento para mejorar los resultados.
Cómo se realiza un blanqueamiento dental en clínica?
El proceso de blanqueamiento dental funciona mediante el uso de un gel blanqueador que contiene peróxido de hidrógeno o peróxido de carbamida. Estos productos químicos liberan oxígeno en los dientes, lo que ayuda a eliminar las manchas y la decoloraciónEn el blanqueamiento dental en consultorio, se coloca el gel blanqueador en los dientes y se utiliza una luz especial para activarlo. El tratamiento suele durar de 30 a 60 minutos, En el blanqueamiento dental en casa, se coloca el gel blanqueador en una férula transparente y se usa durante un período de tiempo determinado, generalmente de una a dos horas al día durante una semana.

El procedimiento del blanqueamiento dental puede variar según el tipo de tratamiento elegido. A continuación, se describe el proceso general para el blanqueamiento dental en el consultorio del dentista:
✅Evaluación inicial:
El dentista evalúa la salud dental y determina si eres un candidato adecuado para el blanqueamiento dental.
Se toman fotografías y registros de tus dientes antes del tratamiento.
✅Preparación:
Se protegen las encías y los tejidos blandos alrededor de los dientes.
Se aplica un agente protector en las encías para evitar la irritación.
✅Aplicación del agente blanqueador:
Se aplica el agente blanqueador a los dientes y se activa con una luz especial o láser.
Se pueden realizar varias aplicaciones durante una sola sesión.
✅Seguimiento y mantenimiento:
El dentista te proporciona instrucciones sobre cómo mantener los resultados y puede programar citas de seguimiento.
Blanqueamiento dental en casa

¿Quieres que estudiemos tu caso?
Si estás interesado en realizar un blanqueamiento dental, te invitamos a contactarnos para agendar una consulta. Nuestro equipo de profesionales evaluará tu caso y te brindará la mejor opción de tratamiento para obtener una sonrisa radiante.
Productos de blanqueamiento dental
Existen varios productos de blanqueamiento dental disponibles en el mercado. Algunos de los más comunes incluyen:
✅Pastas dentales blanqueadoras:
Contienen ingredientes abrasivos y agentes químicos suaves para eliminar las manchas superficiales.
✅Geles blanqueadores:
Se aplican directamente en los dientes utilizando una bandeja o férula.
✅Bandas blanqueadoras:
Bandas delgadas y flexibles recubiertas con un gel blanqueador que se adhieren a los dientes.
✅Enjuagues bucales blanqueadores:
Contienen agentes blanqueadores suaves para mejorar el brillo dental.
Es importante seguir las instrucciones del fabricante y consultar a un dentista antes de utilizar cualquier producto de blanqueamiento dental.
Consejos para el blanqueamiento dental seguro
El blanqueamiento dental es generalmente seguro, pero es importante tomar algunas precauciones para proteger tus dientes y encías. Aquí hay algunos consejos importantes a tener en cuenta:
✔️Consulta a un dentista:
Antes de comenzar cualquier tratamiento de blanqueamiento dental, es fundamental que te realices una evaluación dental completa con un dentista.
✔️Sigue las instrucciones:
Si estás utilizando un kit de blanqueamiento dental en casa, sigue las instrucciones del fabricante y no excedas el tiempo recomendado.
✔️Evita alimentos y bebidas que manchan:
Durante el tratamiento de blanqueamiento dental, evita consumir alimentos y bebidas que pueden manchar los dientes, como café, té, vino tinto y alimentos ácidos.
✔️y usa hilo dental correctamente:
Mantén una buena higiene oral cepillándote los dientes al menos dos veces al día y usando hilo dental regularmente.
✔️Limita el consumo de tabaco:
El tabaco puede manchar los dientes y reducir la efectividad del blanqueamiento dental. Intenta dejar de fumar o reducir su consumo.
Recuerda que es recomendable hablar con un dentista antes de comenzar cualquier tratamiento de blanqueamiento dental para obtener los mejores resultados y garantizar la seguridad.
Efectos secundarios y consideraciones
El blanqueamiento dental puede tener algunos efectos secundarios, aunque suelen ser temporales y desaparecen después del tratamiento. Algunos posibles efectos secundarios incluyen:
✅Sensibilidad dental temporal.
✅Irritación de las encías.
✅Dolor en los dientes o en las encías.
Si experimentas alguno de estos efectos secundarios, es importante comunicarte con tu dentista para obtener orientación y recomendaciones adicionales.
Además, es esencial tener en cuenta que el blanqueamiento dental puede no ser adecuado para todos. Las personas con dientes sensibles, caries, enfermedades de las encías o restauraciones dentales pueden no ser candidatas ideales para el blanqueamiento dental. Un dentista podrá evaluar tu situación individual y recomendarte el mejor enfoque.
Duración y mantenimiento del blanqueamiento dental
La duración de los resultados del blanqueamiento dental puede variar según el tipo de tratamiento y los hábitos de cuidado oral. En general, los resultados pueden durar de varios meses a un par de años.
✅Para mantener los resultados del blanqueamiento dental, considera seguir estos consejos:
✅Mantén una buena higiene oral con cepillado y uso regular de hilo dental.
✅Limita el consumo de alimentos y bebidas que pueden manchar los dientes.
✅Programa visitas regulares al dentista para limpiezas profesionales y evaluaciones de seguimiento.

🌟Alternativas al blanqueamiento dental
Si el blanqueamiento dental no es una opción adecuada para ti o estás buscando alternativas, considera los siguientes enfoques:
✅Carillas dentales:
Se adhieren a la parte frontal de los dientes para mejorar su apariencia. Esl la solución más estética y convervadora
✅Coronas dentales:
Cubiertas protectoras que se colocan sobre los dientes dañados o descoloridos para restaurar su forma y color.
✅Limpieza dental profesional:
Una limpieza dental profesional realizada por un dentista o higienista dental puede ayudar a eliminar las manchas superficiales y mejorar la apariencia general de los dientes.
Recuerda que es importante consultar a un dentista para determinar cuál es la mejor opción para tu caso específico.
¿Es el blanqueamiento dental adecuado para ti?
El blanqueamiento dental puede ser una excelente opción si deseas mejorar la apariencia de tus dientes y obtener una sonrisa más blanca y brillante. Sin embargo, no es adecuado para todos. Si estás considerando el blanqueamiento dental, es importante tener en cuenta lo siguiente:
- Habla con tu dentista: Un dentista podrá evaluar tu situación dental, discutir tus expectativas y recomendarte el mejor enfoque para lograr los resultados deseados.
- Considera tus necesidades y preferencias: Si tienes dientes sensibles o condiciones dentales específicas, es posible que el blanqueamiento dental no sea la opción adecuada para ti. Explora alternativas y opciones con tu dentista.
- Mantén expectativas realistas: El blanqueamiento dental puede mejorar significativamente la apariencia de tus dientes, pero es posible que no logre un «blanco perfecto» o resultados duraderos en todos los casos.
Recuerda que cada persona es única y que un dentista es la mejor persona para guiarte y recomendarte el tratamiento más adecuado para ti.
Cuidados posteriores después de un blanqueamiento
Después del procedimiento, es importante seguir algunos cuidados para mantener tus dientes blancos y saludables. Aquí hay algunos consejos:
✅Evita alimentos y bebidas que manchan los dientes, como café, té, vino tinto y alimentos ácidos como los cítricos. Si consumes estos alimentos y bebidas, asegúrate de cepillarte los dientes o enjuagarte la boca con agua después de consumirlos.
✅Cepilla tus dientes al menos dos veces al día y utiliza hilo dental diariamente. Esto ayudará a mantener tus dientes y encías saludables, y evitará la acumulación de placa y manchas.
✅Usa una pasta de dientes blanqueadora o un enjuague bucal para mantener los dientes blancos y frescos. Asegúrate de elegir productos que contengan fluoruro para ayudar a proteger los dientes contra la caries dental.
✅Evita fumar y tomar sustancias que lleven colorantes o pigmentos, ya que pueden manchar los dientes y causar mal aliento. Además, fumar aumenta el riesgo de enfermedad periodontal y cáncer oral.
✅Programa una limpieza dental regular con tu dentista. Los chequeos dentales regulares pueden ayudar a mantener tus dientes y encías sanos, y tu dentista puede recomendarte tratamientos adicionales para mantener tus dientes blancos y saludables.

Blanqueamiento Dental precio
Los precios del blanqueamiento dental pueden variar según el tipo de tratamiento y la clínica dental. En clínica dental nin, ofrecemos tratamientos de blanqueamiento dental de alta calidad y a precios competitivos. Ponte en contacto con nosotros para obtener más información sobre los precios de nuestros tratamientos de blanqueamiento dental. Los precios suelen oscilar entre los 300 y 450€

El blanqueamiento dental es una opción popular y efectiva para obtener una sonrisa más blanca y brillante. Tanto el blanqueamiento dental en el consultorio del dentista como el casero pueden proporcionar resultados satisfactorios, pero es importante seguir las instrucciones y considerar las recomendaciones de un dentista.
Recuerda que cada persona es única, y es fundamental consultar a un dentista para determinar si el blanqueamiento dental es adecuado para ti y qué tipo de tratamiento sería el más efectivo en tu caso.
¡Obtén una sonrisa radiante y llena de confianza con el blanqueamiento dental adecuado para ti!
Blanqueamiento dental antes y después




🌟¿Qué es el blanqueamiento dental interno?
El blanqueamiento dental interno es un tratamiento dental utilizado para blanquear los dientes que han sufrido una decoloración interna. A diferencia del blanqueamiento dental convencional, que se enfoca en la decoloración de la superficie de los dientes, el blanqueamiento dental interno se realiza en dientes que han sido sometidos a una endodoncia o tratamiento de conducto.
¿Cuándo se utiliza el blanqueamiento dental interno?
El blanqueamiento dental interno se utiliza cuando un diente que ha sido sometido a un tratamiento de conducto comienza a oscurecerse con el tiempo. La endodoncia, que es un tratamiento para eliminar la pulpa dental infectada, puede hacer que el diente pierda su color natural y se vuelva más oscuro. El blanqueamiento dental interno se utiliza para devolverle al diente su color natural y hacerlo coincidir con el resto de los dientes.
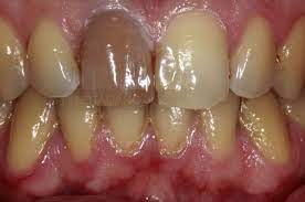
El diente endodonciado y el oscurecimiento de los dientes
El oscurecimiento de los dientes endodonciados es un proceso natural que ocurre después de un tratamiento de conducto. La endodoncia puede debilitar el diente y reducir su brillo natural, lo que puede hacer que el diente se oscurezca con el tiempo. El blanqueamiento dental interno se utiliza para revertir el proceso de oscurecimiento y hacer que el diente vuelva a su color natural.

¿Cómo se hace un blanqueamiento dental interno?
El blanqueamiento dental interno se realiza en la oficina del dentista y generalmente requiere dos o tres visitas. Durante la primera visita, el dentista realiza una evaluación para determinar si el paciente es un candidato adecuado para el tratamiento. Si el paciente es un candidato adecuado, se realiza una preparación del diente para el blanqueamiento.
Durante la segunda visita, el dentista coloca un gel blanqueador en el interior del diente y lo sella. El gel blanqueador se deja en el diente durante varios días para permitir que el proceso de blanqueamiento tenga lugar. Durante la tercera visita, el dentista retira el gel blanqueador y evalúa el resultado del tratamiento.

¿Cuántas sesiones hacen falta?
El número de sesiones necesarias para completar el tratamiento de blanqueamiento dental interno depende de varios factores, como el grado de oscurecimiento del diente, la edad del paciente y otros factores médicos. En general, se necesitan dos o tres sesiones para completar el tratamiento de blanqueamiento dental interno.
En conclusión, el blanqueamiento dental interno es un tratamiento utilizado para blanquear los dientes endodonciados que se han oscurecido con el tiempo. El tratamiento es seguro y eficaz, y generalmente requiere dos o tres visitas al dentista. Si estás interesado en el blanqueamiento dental interno, habla con tu dentista para determinar si eres un candidato adecuado para el tratamiento.
FAQs)
¿El blanqueamiento dental daña los dientes?
En general, el blanqueamiento dental es seguro y no daña los dientes cuando se realiza adecuadamente. Sin embargo, es importante seguir las instrucciones y consultar a un dentista antes de comenzar cualquier tratamiento.
¿El blanqueamiento dental es permanente?
El blanqueamiento dental no es permanente, pero los resultados pueden durar de varios meses a un par de años. Mantener una buena higiene oral y evitar alimentos y bebidas que manchen los dientes puede ayudar a mantener los resultados por más tiempo.
¿Puedo hacerme un blanqueamiento dental en casa?
Sí, existen kits de blanqueamiento dental para uso en el hogar que pueden ser efectivos. Sin embargo, es importante seguir las instrucciones y consultar a un dentista para obtener orientación adecuada.
¿El blanqueamiento dental funciona en todos los tipos de manchas?
El blanqueamiento dental funciona mejor en manchas superficiales causadas por alimentos, bebidas y hábitos como fumar. Para manchas más profundas, como las causadas por ciertos medicamentos, el blanqueamiento dental puede no ser tan efectivo.
¿El blanqueamiento dental es doloroso?
Algunas personas pueden experimentar sensibilidad dental temporal durante o después del blanqueamiento dental, pero en general no debería ser doloroso. Si tienes alguna preocupación, habla con tu dentista.

Quieres pedir cita en nuestra clínica?
Elige la manera que quieres contactar

